مركز التصوير الجزيئي I-One التابع لشركة وادي جدة الذراع الاستثماري لجامعة الملك عبدالعزيز، يدشن خدمة Amyloid PET MRI لتشخيص مرض الزهايمر، بالتعاون مع شركة Oryx Isotopes
الاثنين - 16 ديسمبر 2024
Mon - 16 Dec 2024
ضمن أعمال مركز التصوير الجزيئي I-One في إنتاج المستحضرات الصيدلانية المشعة باستخدام المسارع الذري (Cyclotron)، الذي يعد الأول والوحيد من نوعه على مستوى المنطقة الغربية والمنطقة الجنوبية بالمملكة، وخدمات التصوير الجزيئي باستخدام كلٍ من جهاز التصوير البوزيتروني المقطعي PET/CT، وجهاز المسح البوزيتروني الطبقي المدمج بالرنين المغناطيسي PET/MRI، الأول والوحيد من نوعه على مستوى المملكة العربية السعودية.
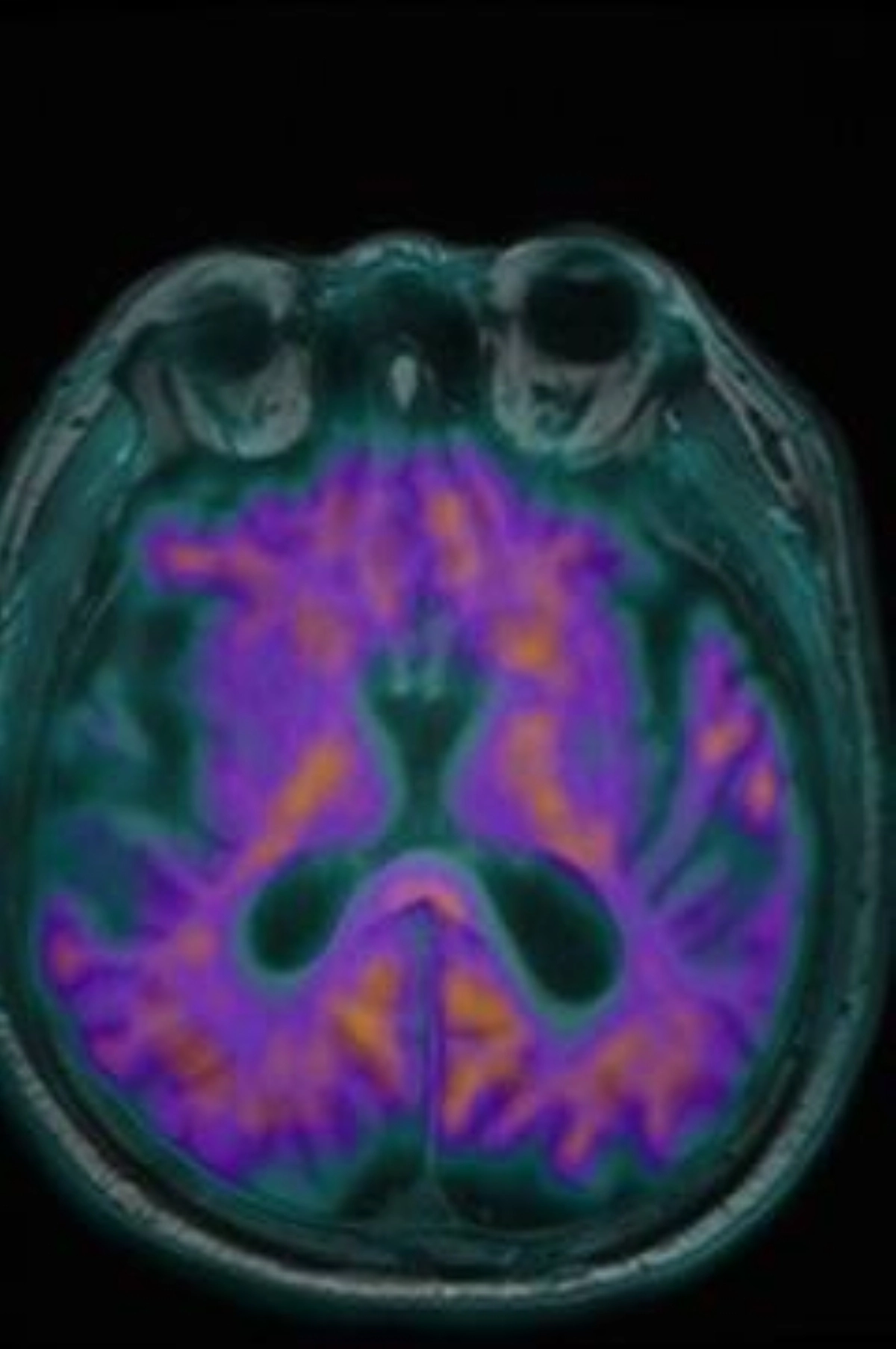
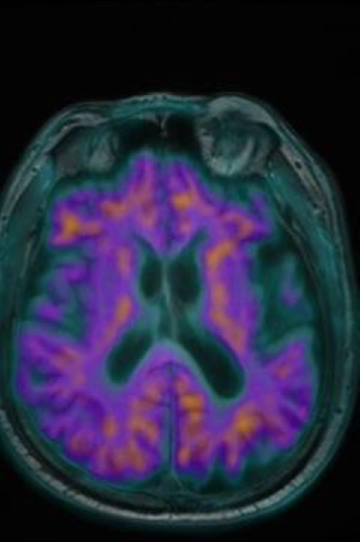
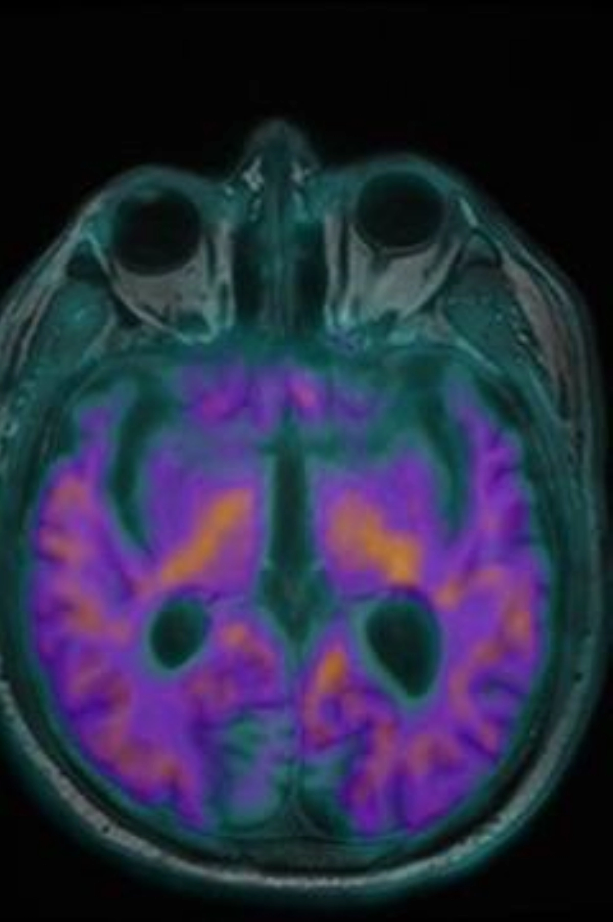
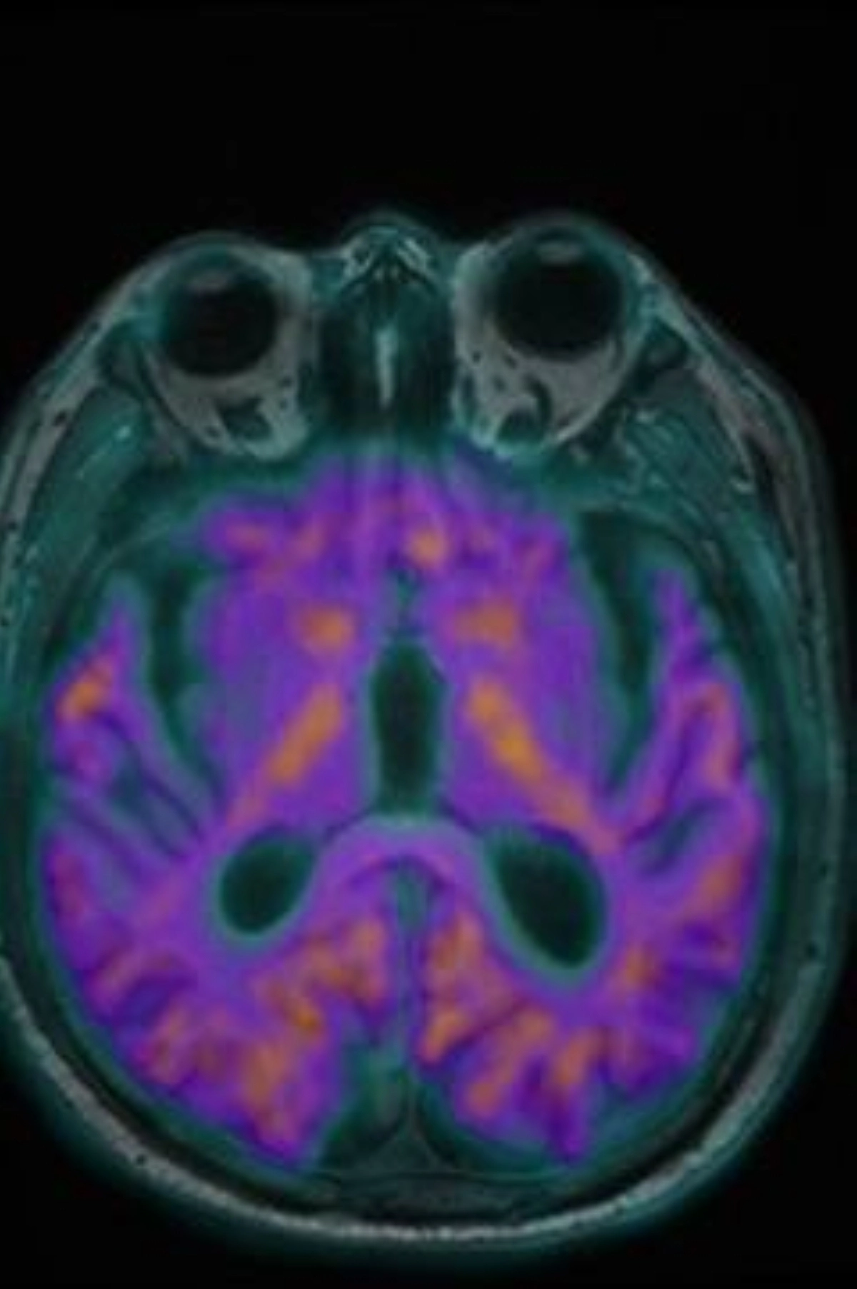
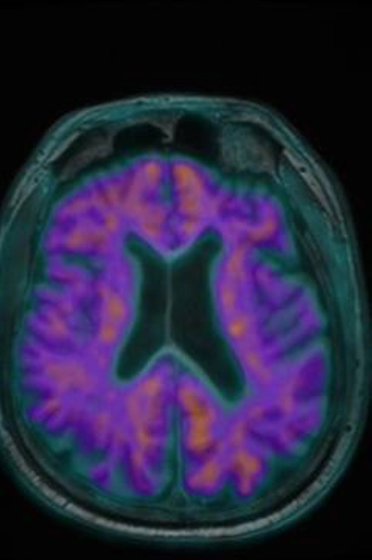
دشن مركز التصوير الجزيئي I-One، يوم الاثنين 15 ديسمبر 2024م، خدمة التصوير الجزيئي Amyloid PET MRI لتشخيص مرض الزهايمر، وذلك بالتعاون مع شركة Oryx Isotopes لإنتاج مادة Amyloid (18F – FBB).
ليصبح بذلك مركز التصوير الجزيئي I-One، الأول والوحيد على مستوى الشرق الأوسط الذي يقوم بتشخيص مرض الزهايمر باستخدام جهاز المسح البوزيتروني الطبقي المدمج بالرنين المغناطيسي PET/MRI.
دشن مركز التصوير الجزيئي I-One، يوم الاثنين 15 ديسمبر 2024م، خدمة التصوير الجزيئي Amyloid PET MRI لتشخيص مرض الزهايمر، وذلك بالتعاون مع شركة Oryx Isotopes لإنتاج مادة Amyloid (18F – FBB).
ليصبح بذلك مركز التصوير الجزيئي I-One، الأول والوحيد على مستوى الشرق الأوسط الذي يقوم بتشخيص مرض الزهايمر باستخدام جهاز المسح البوزيتروني الطبقي المدمج بالرنين المغناطيسي PET/MRI.